| トップページ |
| ドライマウス(口腔乾燥症)とは |
| ドライマウスの問題点 |
| 唾液について |
| ドライマウスの分類 |
| ドライマウスの病態と頻度 |
| ドライマウスの臨床像 |
| ドライマウスの原因 |
| ドライマウスの診断 |
| ドライマウスの治療 |
| ドライマウスの今後の展望と課題 |
| 部屋主の紹介 |
| ドライマウスオアシスHOME |
ドライマウスの原因について、まず理解していただきたいことを以下に示します。
シェーグレン症候群や放射腺性唾液腺炎などのように、1つの原因でドライマウスを引き起こすまでの唾液の減少が起こることは稀です。多くのドライマウスは複数の原因が重なって、しかも長期間を経て発症します。

ドライマウスは、唾液分泌量の低下を認めるものと認めないものに大別されます。ここでは、以下に示す「ドライマウス(口腔乾燥症)の分類」をもとに原因を説明します。

| 生活習慣に起因するドライマウス |
(1)カフェイン、アルコール、ニコチンの過剰摂取
これらの物質は高い利尿作用があり脱水状態を来たすために唾液の分泌低下を招き、ドライマウスを引き起こすことがあります。そのため、カフェインを多く含むコーヒー、紅茶、緑茶などの過剰摂取、アルコールの多飲、タバコの吸いすぎなどの習慣には注意を払う必要があります。特に、唾液分泌量の低下を原因とする疾患を伴っていたり、唾液分泌量の低下を引き起こす薬剤を服用している場合は相乗作用でドライマウスを生じる可能性が高まります。
(2)水分摂取量の不足
成人では1日あたり体重の1/20(2〜2.5リットル)の水分を摂取する必要があります。無謀なダイエットなどで水分や食物の過剰制限を行ったり、全身疾患のために十分な水分、食事の摂取ができない場合などに唾液の分泌が抑制され、ドライマウスを引き起こすことがあります。
(3)不十分な咀嚼
咀嚼回数の減少は唾液腺の萎縮機能低下を引き起こし、唾液分泌量の低下を招きます。動物実験でもネズミに軟らかい餌を与えると唾液分泌量が減少、硬い餌を与えると唾液量が回復することが実証されています。それゆえ、唾液腺機能を十分に発揮させるためには幼児期からよく噛む習慣を身につけ、また、歯牙等の喪失に伴う咀嚼障害は補綴処置で速やかに改善する必要があります。特に、高齢者では唾液腺の機能が生理的に低下しているため、十分な咀嚼ができるように注意を払うことが大切です。
| 全身的要因に起因するドライマウス |
(1)体液、電解質異常
全身疾患が原因となって高熱、脱水、出血、下痢などが続き、体重の2%以上の水分が喪失すると口渇が起こり、さらに持続すると唾液の減少を来たします。
また、神経性食欲不振症や拒食症などで嘔吐が続くと、全身が慢性的な脱水状態となり、唾液の減少を来たします。
(2)内分泌異常
@甲状腺機能亢進症
代謝の活発化し心機能亢進、交感神経興奮で口渇が生じます。
A甲状腺機能低下症
代謝が低下し、口渇が生じます。
B副甲状腺機能亢進
Cushing症候群、アルドステロン症などでも口渇が生じます。
C尿崩症
水の再吸収障害によって多尿となり、口渇が生じます。
D性ホルモン失調症
女性ホルモンの減少と口腔乾燥感には関連性があります。女性では加齢ともに唾液分泌量が低下し、70〜80歳代では10歳代の半分以下に減少することもあります。これは加齢とともに女性ホルモンの1つであるエストロゲンの分泌が低下し、それに起因して唾液腺が萎縮することが原因と考えられています。
(3)代謝障害
@糖尿病
血糖値が300mg/ml以上になると血液の浸透圧が上昇し口渇が生じます。また、尿中に糖が排泄されるため尿の浸透圧が上昇し、多量の水分が尿管の方に引っぱられ、その結果多量の尿が排泄されて脱水状態となり、唾液分泌量の低下を来たします。
さらに、長期間にわたり血糖コントロール不良の場合、唾液腺組織の変性、萎縮、唾液腺のムスカリン受容体の感受性低下などが生じ、唾液分泌量の低下を来たします。
A腎機能不全(急性腎不全、慢性腎不全)
腎機能が急速または慢性に低下すると、血奬浸透圧の異常や水分バランスの異常によって唾液分泌量の低下を来たします。また、本疾患の治療に用いられる利尿薬の服用、血液浄化療法などの実施によっても唾液分泌量の低下を来たします。
B肝硬変
病状が進行してくると黄疸、腹水、肝性脳症、肝腎症候群などが生じます。この病期になると水分摂取量の減少や循環血奬量の減少、腎機能障害、腹水に対する利尿薬の投与などによってドライマウスを引き起こします。
(4)自己免疫疾患
1)シェーグレン症候群
唾液腺や涙腺などの外分泌腺組織が障害され、ドライマウスやドライアイなどが生じる臓器特異的自己免疫疾患です。自己抗体が高頻度で検出され、全身のほとんどの臓器に病変が生じます。悪性リンパ腫などのリンパ増殖性病変を伴うこともあります。
以下にシェーグレン症候群の概要、主な症状、診断基準、自己抗体陽性率、性差、唾液腺造影像、口唇腺組織像、ドライアイの検査法を示します。
シェーグレン症候群の概要
| 発症年齢: | 20〜40歳代に好発 |
|---|---|
| 性 差: | 女性:男性=10:1 |
| 臨床症状: |
a) 口腔乾燥感、b) 唾液量の減少、c) 唾液腺の再発性腫脹
d) 乾燥性角結膜炎(涙液量の減少)、
e) 膠原病様症状(全身倦怠感、発熱、関節痛、筋肉痛)シェーグレン症候群の30〜40%は膠原病や自己免疫疾患を併発
|
| 検査所見: |
a) 耳下腺造影にて末梢導管部の点状陰影 (Rubin & Holt の分類)
b) 口唇腺生検で導管周囲性リンパ球浸潤像、c)唾液量の減少
d) 血清中に自己抗体出現 (ANF, SS-A, SS-B) 、
e) 涙液流出量検査(シルマー試験)、
ローズベンガル試験、フルオレセイン 試験 |
| 治 療: | a) 対症療法、b) ステロイド剤投与、c) 塩酸セビメリン |
| 予 後: | 初期は腺組織に限局した症状がみられ、進行してくると全身症状を併発し、一部の症例では悪性リンパ腫に移行する |
シェーグレン症候群の主な症状
| 口腔乾燥症状: | 自覚的には口渇、乾いた食物の嚥下困難、唾液腺の腫脹や疼痛など他覚的にはう蝕の多発、口腔粘膜や舌乳頭の萎縮、口角炎など |
|---|---|
| 眼乾燥症状: | 自覚的には眼の乾燥感、異物感、疲労感、眼脂など 他覚的には粘膜の乾燥による角結膜上皮の障害、角結膜炎など |
| その他の乾燥症状: | 咳、消化不良、鼻の乾燥や出血、膣の乾燥(性交時不快感)、皮膚の乾燥、脱毛など |
| その他の症状: | 関節痛、筋肉痛、リンパ節腫脹、頻尿、疲労感、気分の変化、皮疹、レイノー症状、紫斑、頭痛など |
シェーグレン症候群の診断基準
日本におけるシェーグレン症候群の診断基準(1999年改訂)
1.生検病理組織検査で次のいずれかの陽性所見を認めること
A) 口唇腺組織で4mm2あたり1focus(導管周囲に50個以上のリンパ球浸潤)以上
B) 涙腺組織で4mm2あたり1focus(導管周囲に50個以上のリンパ球浸潤)以上
2.口腔検査で次のいずれかの陽性所見を認めること
A) 唾液腺造影でStageT(直径1mm未満の小点状陰影)以上の異常所見
B) 唾液分泌量低下(ガム試験にて10分間で10ml以下または サクソン試験にて2 分間で2g以下)があり、かつ唾液腺シンチグラフィーにて機能低下の所見
3.眼科検査で次のいずれかの陽性所見を認めること
A) シルマ−試験で5分間に5mm以下で、かつローズベンガル試験で3以上
B) シルマ−試験で5分間に5mm以下で、かつ蛍光色素試験で陽性
4.血清検査で次のいずれかの陽性所見を認めること
A) 抗Ro/SS-A抗体陽性
B) 抗La/SS-B抗体陽性
<診断基準>
上の4項目のうち、いずれか2項目以上を満たせばシェーグレン症候群と診断する。
シェーグレン症候群のヨーロッパ診断基準
| 1.眼症状: | 以下の項目より少なくとも1つが肯定されること
a) 3ヵ月以上毎日持続するやっかいな眼球乾燥を自覚
b) 眼に砂あるいはジャリが入ったような感じの繰り返し
c) 点眼液を1日に3回以上使用
|
|---|---|
| 2.口腔症状: | 以下の項目より少なくとも1つが肯定されること
a) 口腔乾燥を3ヵ月以上毎日自覚
b) 成人後に反復あるいは持続する唾液腺の腫脹を自覚
c) 水気のない食物を摂るときに、しばしば飲み物を必要とする
|
| 3.眼球徴候: | 下記の2試験のうち1つが陽性
a) シルマー試験第1法(5分間で5mm以下)
b) ローズベンガル試験(van Bijsterveldスコアが4以上)
|
| 4.病理組織所見: | 唾液腺生検組織内に50個以上のリンパ球の集族巣を認める |
| 5.唾液腺病変: | 下記の3つの試験のうち少なくとも1つが陽性
a) 唾液腺シンチグラム
b) 耳下腺シンチグラム
c) 無刺激下の唾液流量(15分間で1.5ml以下)
|
| 6.自己抗体: | 下記の自己抗体のうち少なくとも1つが存在
a) SS-AあるいはSS-B抗体
b) 抗核抗体
c) リウマチ抗体
|
<診断基準>
6項目中4項目が陽性であれば、シェーグレン症候群と診断する。





2)IgG4関連疾患
IgG4関連疾患は、血清IgG4高値( 135mg/dl以上)、IgG4陽性形質細胞の著しい浸潤と線維化によって、同時性あるいは異時性に全身のさまざまな臓器に腫瘤、結節、肥厚性病変などが生じる原因不明の疾患です。自己免疫性膵炎とミクリッツ病の観察から提唱された新しい疾患概念として注目されています。
ミクリッツ病は、IgG4関連疾患の涙腺・唾液腺の病変と位置づけられ、IgG4関連涙腺・唾液腺炎、IgG4関連ミクリッツ病とも呼ばれています。


ミクリッツ病とシェーグレン症候群の臨床像の比較
ミクリッツ病に性差はなく、腺腫脹は持続性で、眼、口腔の乾燥感はなく、血清IgG4は高値、抗SS-A, SS-B抗体は陰性です。

IgG4関連ミクリッツ病の主な症状
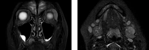
IgG4関連ミクリッツ病では、唾液腺、涙腺、顎下腺、舌下腺などに、両側性、対称性、持続性の腫脹がみられます。 以下に示すIgG4関連ミクリッツ病患者では、両側顎下腺、舌下腺、左側涙腺の腫脹が認められます。

MRI所見においても両側顎下腺ならびに左側涙腺の腫脹が認められます。

また、顎下腺の病理組織像では、IgG4染色陽性細胞の浸潤が認められます。

なお、IgG4関連ミクリッツ病の診断は、以下の包括診断基準と臓器特異的診断基準を併用して行います。
〈全身疾患としてのIgG4関連疾患の包括診断基準〉
〈IgG4関連涙腺唾液腺炎: IgG4関連ミクリッツ病の診断基準〉
(5)貧血、電解質異常
貧血(鉄欠乏性貧血、悪性貧血)による唾液量減少のメカニズムは明らかとなっていませんが、血中の電解質の変化に起因していると考えられています。
(6)薬剤の有害事象(薬剤性ドライマウス)
ドライマウスの約30%は薬剤性ドライマウスです。現在、使用されている薬剤のうち、唾液分泌抑制作用のあるものは約1,000種類に上り、中枢神経系に作用して唾液分泌量を減少させるもの(唾液腺細胞の副交感神経の受容体をブロック→唾液腺細胞内Ca2+濃度の上昇をブロック→唾液分泌抑制)と、血管内水分量を減少させて二次的に唾液分泌量を減少させるものがあります。
中枢神経系に作用して唾液分泌量を減少させる薬剤
| 鎮静薬: | アルプラゾラム(ソラナックス)、塩酸リルマザポン(リスミー) |
|---|---|
| 抗うつ薬: | アミトリプチリン塩酸塩(トリプタノール)、エチゾラム(デパス) |
| 抗痙攣薬: | カルバマゼピン(テグレトール) |
| 中枢性筋弛緩薬: | 塩酸エペリゾン(ミオナール)、チザニジン塩酸塩(テルネリン) |
| 抗パーキンソン薬: | アマンタジン塩酸塩(シンメトレル)、レボドパ(ドパール) |
| 抗精神病薬: | クロルプロマジン塩酸塩(ウインタミン)、ハロペリドール(セレネース) |
| 抗コリン薬: | 臭化ブチルスコポラミン(ブスコパン) |
| 抗ヒスタミン薬: | d-マレイン酸クロルフェニラミン(ポララミン)、塩酸ジフェンヒドラミン(レスタミン)塩酸ジフェニルピラニン(ダン・リッチ) |
| H2受容体拮抗薬: | ファモチジン(ガスター) |
血管内水分量を減少させて二次的に唾液分泌量を低下させる薬剤
| 降圧薬: | マレイン酸エナラプリン(レニベース)、塩酸クロニジン(カタプレス)、ニカルジピン塩酸塩(ペルジピン)、ニフェジピン(アダラート)、メチルドバ(アルドメット)、ジルチアゼム(ヘルペッサー) |
|---|---|
| 利尿薬: | フロセミド(ラシックス) |
| 気管支拡張薬: | テオフィリン(テオドール) |

(7)脳血管障害(脳血管障害性ドライマウス)
延髄には上唾液核、下唾液核という唾液分泌の中枢が存在しています。この唾液核は口腔領域からの求心性知覚神経を介した刺激によって興奮し、その興奮を交感神経および副交感神経刺激として、遠心性神経によって唾液腺に伝え唾液の分泌を調節しています。
そのため、延髄疾患、唾液核の障害、上位中枢部分の脳腫瘍、脳損傷、顔面神経分泌枝の障害などが生じると、唾液分泌に関わる神経経路が障害され、唾液分泌量が低下し、ドライマウスを来たします。
(8)その他
透析患者はドライマウスを来たしやすく、その原因として、@反復した透析負荷による腺細胞、腺内導管の萎縮、A腎不全による腺細胞萎縮、B唾液分泌神経伝導障害があげられます。
なお、以下のとおり、透析患者では正常人の1/4くらいまで唾液量が減少しています。

| 唾液腺障害(唾液腺自体の異常)を原因としたドライマウス |
(1)唾液腺疾患
唾液減少を来たす可能性のある疾患として、@小児の慢性再発性耳下腺炎、A唾液腺症、Bブドウ膜耳下腺炎(熱)、C移植性片対宿主病などがあげられます。
@小児の慢性再発性耳下腺炎
| 原 因: | a)先天性導管閉塞、b)唾液の鬱滞、c)アレルギー、 d)自己免疫疾患、e)導管壁の異常などが考えられる。 |
|---|---|
| 好発年齢: | 3-6歳 |
| 性 差: | 男:女 = 2:1 |
| 臨床症状: | a)耳下腺の突然の腫脹、疼痛、 b)導管開口部よりの排膿 c)導管開口部の発赤、d)全身倦怠感、e)発熱 *これらの症状は3-7日で改善し、寛解期の症状は耳下腺部の腫脹のみ |
| 急性増悪の間隔: | 2-3週から1年に1回まで |
| 検査所見: | 末梢導管部の点状陰影 |
| 治 療: | a)抗生剤の投与、 b)安静、 c)栄養補給 |
| 予 後: | 思春期までに大部分は自然治癒する しかし、0-20%は大人の慢性再発性耳下腺炎に移行する そして、成人後も唾液量の減少が認められる |

A唾液腺症
| 原 因: | 全身疾患による神経機能障害に起因する唾液分泌障害 |
|---|---|
| 原因疾患: | 糖尿病、肝疾患、ホルモン異常、薬物、飢餓、その他 これらの疾患のために唾液腺の分泌障害を起こす |
| 好発年齢: | 40-50歳代 |
| 臨床症状: | 腺組織(耳下腺、顎下腺)の無痛性再発性腫脹、炎症所見は認められない |
| 検 査: | a)耳下腺造影:正常像、 b)血中アミラーゼの増加、 |
| 治 療: | 原因疾患の治療 |

Bブドウ膜耳下腺炎(熱)
| 原 因: | 不明であるが、非壊死性肉芽腫形成を特徴とする全身性の疾患、おそらく本態はサルコイドーシスに起因すると考えられる |
|---|---|
| 発症年齢: | 20-40歳代 |
| 性 差 : | なし |
| 臨床症状: | a)耳下腺の結節性腫脹、自発痛、口腔乾燥、唾液分泌量の低下、b)眼球ブドウ膜炎、c)発熱、d)顔面神経麻痺(半数にみられる)、e)肺門部腫瘤 |
| 検 査: | サルコイドーシスの検査(生検、RIシンチ、血清グロブリン、IgG、IgMの増加) 耳下腺造影:導管の狭窄、導管の減少 生検:腺組織の内外のリンパ上皮細胞性結節 |
| 治 療: | 70%は2-3か月で自然に消退する。30%はステロイド剤で治療する |

C移植片対宿主病(Graft-Versus-Host-Disease;GVHD)
| 原 因: | 骨髄移植による自己免疫(拒絶)反応 骨髄提供者の免疫系が宿主の細胞を異物と認識して生じる生体反応 |
|---|---|
| 発症時期: | 急性GVHD:移植後2-3週間後に発症する 慢性GVHD:移植後100日前後に発症する 移植片対宿主病は慢性GVHD |
| 臨床症状: | HLAの適合程度によって症状は異なる 慢性GVHD:皮膚病変、肝臓病変、消化管病変、呼吸器病変、 造血器病変、眼病変、 口腔病変( a)口腔粘膜に扁平苔癬様の白斑、b)口腔乾燥感、c)唾液分泌量の減少)、その他 |
| 診 断: | 皮膚の生検、涙量の検査、肝機能検査、肺機能検査、口唇腺生検(a)腺組織へのリンパ球のびまん性浸潤 、b)腺組織の変性、委縮、消失) |
| 治 療: | ステロイド剤の投与、免疫抑制剤の投与 |

(2)放射線照射による障害(放射線障害性ドライマウス)
頭頸部の癌に対して放射線治療を行うと、唾液腺組織が障害を受け、唾液分泌量が低下(治療前の1/2から3/4に減少)します。

放射線治療では、照射された線量に依存して唾液腺細胞の変性、消失がみられます。
60Gy照射例の顎下腺の組織像をみると、線房はすべて消失しています。

なお、唾液腺細胞には再生能力が備わっています。放射線治療後に唾液分泌量は著しく減少しますが、術後6ヵ月以降より徐々に回復傾向を示し、術後36ヵ月(3年)で照射前の60%まで回復します。

| 神経性要因を原因としたドライマウス |
(1)分泌神経障害
延髄疾患、脳腫瘍、顔面神経分泌枝の障害、自律神経失調症などによって、ドライマウスを来たすことがあります。
延髄には上唾液核、下唾液核という唾液分泌の中枢が存在しています。唾液核は口腔領域からの求心性知覚神経を介した刺激によって興奮し、その興奮を交感神経および副交感神経刺激として遠心性神経によって唾液腺に伝え、唾液の分泌を調節しています。
副交感神経が刺激されると水分の多い唾液が分泌され、交感神経刺激では有機分の多い粘稠な唾液が分泌されます。
唾液分泌はまた中枢神経系の上位中枢から唾液核に達するインパルスによって刺激あるいは抑制されます。ストレスなどによる唾液分泌の抑制はこの上位の中枢からの唾液核への抑制作用によって生じます。
(2)精神的原因
神経症、うつ病、ノイローゼ、精神的興奮、ストレスなどによって、ドライマウスを来たすことがあります。
ストレスがかかると交感神経が優位となって唾液分泌量が減少したり、ストレスなどによって引き起こされる上位の中枢からの唾液核への抑制刺激によって、唾液分泌が減少します。
明らかにはなっていませんが、同様の原因でうつ病でも唾液分泌量の低下を来たすと考えられています。
| 加齢(生理的要因):唾液腺の萎縮 |
唾液分泌量の減少の原因として、加齢性変化(唾液腺の萎縮)が考えられていますが、刺激時唾液は加齢による減少は少ないとされています。一方、安静時唾液は加齢によって減少することがわかっています。
70歳以上では男性の16%、女性の25%に唾液分泌量の減少が認められます。80歳以上では唾液分泌量は半分以下に減少します。
ドライマウスを来たすほどの唾液分泌量の減少は加齢のみでは起こりませんが、高齢者では唾液分泌の予備能力が低下しているため、さらに何らかの唾液分泌を抑制するファクターが加わると、比較的簡単にドライマウスを来たします。そのため、ドライマウスは高齢者に好発します。

| 局所的(口腔内)要因に起因するドライマウス(蒸発性ドライマウス) |
長期間の口呼吸は口腔内を乾燥させ、口腔環境を障害し口腔粘膜の萎縮や歯周病、齲歯の増加をもたらします。
| 口呼吸の原因: | 鼻疾患、口裂閉鎖不全、高齢者での口周囲筋肉の弛緩など |
|---|---|
| 原因治療: | 鼻疾患については耳鼻咽喉科での治療が第一選択 口腔周囲の筋肉の弛緩が原因と考えられる口裂閉鎖不全や高齢者での開口については筋機能療法が効果的 |
| 睡眠中の口呼吸の原因: | いびき、噛みしめ、歯ぎしりなど 夜間の唾液量は昼間の刺激時唾液量の1/10くらいまで減少し、口呼吸は口腔の乾燥症を来たす |
| 夜間の口呼吸の治療法: | 舌根を挙上する目的でのスプリント療法 就寝時の姿勢の工夫(仰臥位を避けて側臥位で) いびきに関してもスプリント療法や適応があれば耳鼻咽喉科での外科的処置など |
| Copyright © DRY MOUTH SOCIETY IN JAPAN All Rights Reserved | ↑ GO TO PAGE TOP |